
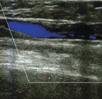
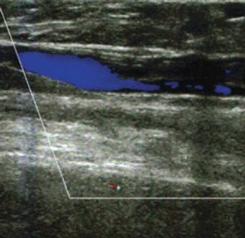
Ultrasound diagnosis of tenosynovitis has now been shown to be superior to clinical signs and symptoms (eg, early morning stiffness, symmetrical arthritis, and hand joint arthritis) in predicting early rheumatoid arthritis.

Ultrasound diagnosis of tenosynovitis has now been shown to be superior to clinical signs and symptoms (eg, early morning stiffness, symmetrical arthritis, and hand joint arthritis) in predicting early rheumatoid arthritis.

The overall cost of rheumatoid arthritis treatment has dropped over the past decade in Germany. Researchers there say several factors are driving the trend.

Weight loss may have an important role in the nonpharmacologic management of obese patients with rheumatoid arthritis, a new study shows.

Work productivity can be improved in early rheumatoid arthritis patients using a combination etanercept and methotrexate therapy.

Bone erosions found at a rheumatoid arthritis (RA) patient’s baseline exam are harbingers of future joint damage and more severe disease. As to why this is so, new studies offer only hints.

Numbers in randomized drug trials were too small to amass enough adverse events to settle the issue, but combined they show an increased hypertension risk for the tumor necrosis factor inhibitors used to treat rheumatoid arthritis.

More good news for Actemra: rheumatoid arthritis patients can safely transition from the intravenous form of the IL-16 blocker to the injectable version.

The increased insulin resistance seen in rheumatoid arthritis (RA) patients compared to non-RA controls did not contribute to additional atherosclerosis risk, according to research published in Arthritis & Rheumatology.

Tofacitinib affects response to the pneumonia (but not the influenza) vaccine in rheumatoid arthritis patients, especially those also taking methotrexate.

Discontinuing disease-modifying anti-rheumatic drug (DMARD) therapy in patients with rheumatoid arthritis who have achieved remission is safe, according to research published in the Annals of Rheumatic Diseases.

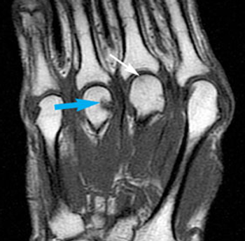
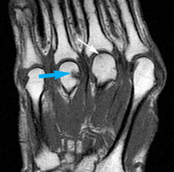
Evaluating a 29-year-old female business executive with complaints of joint pains and stiffness affecting both hands and wrists, both feet and her left knee. She has reported these symptoms for the past 3 weeks.

Contrary to popular opinion, exercise programs may relieve joint and muscle stiffness in patients with rheumatoid arthritis.

Rheumatoid arthritis pain has been alleviated in half of patients enrolled in a study which used an electrical implanted device to emit magnetic pulses at the Academic Medical Center in Amsterdam, the Netherlands.

A clinical trial that evaluated the use of tocilizumab for the treatment of patients with rheumatoid arthritis and renal insufficiency found the medication to be safe and effective.

The optimal treatment time for slowing the progression of rheumatoid arthritis is earlier in the course of disease, researchers said in the Annals of Rheumatic Diseases.

A blood test can identify which rheumatoid arthritis medications may not work for particular patients, saving time and money.

For treating rheumatoid arthritis not responsive to methotrexate, DMARD combinations beat monotherapy but at greater risk, a summary of recent evidence observes. In another, reviewers disagree about triple therapy.

A large study of insurance claims adds to the evidence linking rheumatoid arthritis treatment to the risk of venous thrombosis.

A support group developed by a hospital in New York has shown that patients with rheumatoid arthritis can see their condition improve by not only addressing the physical symptoms but the psychological issues as well.

Women using intrauterine devices with a family history of rheumatoid arthritis are at greater risk for the condition.

White blood cells may be the cause of rheumatoid arthritis, according to a study from Northwestern Medicine.

A drug designed to treat patients with rheumatoid arthritis could also make them more susceptible to shingles, according to the results of a recent study.

A patient with rheumatoid arthritis declines to take pain relievers. His wife says he needs them, but won't admit it. What should be done?

Researchers are testing promising new biologic agents that target different aspects of the inflammatory pathway in rheumatoid arthritis (RA).

In recent years, introduction of biologic agents for treatment of patients with rheumatoid arthritis (RA) has changed the landscape of RA management.