News

More than two-thirds of surveyed patients with gout described the pain of an attack as “miserable,” but one-fourth suggested that persons who do not have gout perceive them as overreacting to attacks and two-thirds think that others do not take the condition seriously.

Inflammatory arthritis includes a variety of diseases; the most common are rheumatoid arthritis, ankylosing spondylitis, and psoriatic arthritis. A large proportion of patients seen in most rheumatology practices have inflammatory arthritis; these patients also are seen in the primary care setting, where they present initially before a diagnosis has been made. The inflammatory arthritides are chronic progressive diseases that can cause irreversible joint damage even early in the disease course.

More than 1 million total joint arthroplasties (TJAs) are performed in the United States each year, and much higher demand is projected. Most TJAs are successful, but aseptic loosening of implants remains a problem that limits long-term success. Aseptic osteolysis, an inflammatory reaction, occurs in up to 10% of patients at 10 years postsurgery.

After a trip to El Salvador, a woman experienced fever, malaise, and other symptoms. She had a history of a positive antinuclear antibodies test result, Raynaud phenomenon, and erythematous rash. The patient was hospitalized for pneumonia, and her symptoms persisted when she received antibiotics. Later her right ankle became red, swollen, and tender. Examination of the patient's extremities showed osteoarthritis changes.

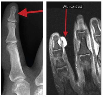
A 25-year-old man was seen in the orthopedic clinic with a complaint of severe, exquisite pain at the ulnar aspect of the distal phalanx of his dominant right index finger. The pain had been present for 10 years, but he had not sought treatment.

The aging process is difficult, involving multisystem functional decline, and the pharmacokinetics of medications are altered in older persons, resulting in increased risks. Concerns are demonstrated in case reports.

ABSTRACT: Achilles tendon injuries are increasing as the population ages yet remains physically active later in life. Early diagnosis and management are important for good long-term outcome, but many injuries are missed or misdiagnosed on initial evaluation.

Some health care IT industry heavyweights have gone so far as to suggest that the iPad will be greatly utilized in the healthcare setting and revolutionize the way we do business. While I do think the iPad is incredibly shiny and is great computer replacement for your grandma, I think it's a bit of an exaggeration to suggest that it will ever be fully adopted by healthcare IT shops.

Modern medicine's technological advances now allow more people to live long enough to develop chronic diseases where the mortality is low but the morbidity high. Hyperchondriacs are acutely aware of this, and perceive great threats in their aging and the future. Hyperchondriacs have similar attributes to hypochondrial patients even as they lack the attendant "symptoms" of a physiologic illness.

Fibromyalgia syndrome (FMS) is not a novel entity-there has been interest in unexplained pain syndromes since antiquity (Figure 1). The earliest research focused on the symptom of “muscle hardenings,” which may be the equivalent of musculoskeletal symptoms that patients with FMS describe today.

Throughout history, various forms of morphine have been the most effective medications in relieving pain. Opioid analgesics-the natural, semisynthetic, and synthetic derivatives of morphine-are used routinely in the management of acute musculoskeletal pain. However, myths and misunderstandings about these drugs often prevent primary care physicians from prescribing them for chronic pain, such as that seen in common musculoskeletal conditions (eg, rheumatoid arthritis, osteoarthritis [OA], osteoporosis, and low back pain [LBP]). Although pain is one of the most common symptoms that bring patients to the physician’s office, those with chronic musculoskeletal or other noncancer pain all too often are undertreated.

There is a high prevalence of 25-hydroxyvitamin D (25[OH]D) deficiency in older men who have radiographic hip osteoarthritis (OA). Because 25(OH)D plays a significant role in bone and cartilage maintenance, therapeutic interventions with vitamin D are warranted to augment their skeletal health.

ABSTRACT: No new drug was FDA-approved for gout for close to 45 years, but new drugs are on the market now and others are in development. Established treatments often are effective, but each has limitations. In 2009, the FDA approved a nongeneric colchicine for acute gout.

A 45-year-old woman presented to the emergency department with a 3-day history of an acutely painful, swollen, and erythematous thumb. Ordinary x-ray was central to the correct diagnosis.

There are significant associations between the increased numbers of telangiectases in patients with scleroderma and the presence of pulmonary arterial hypertension (PAH). Cutaneous telangiectases may be a manifestation of the vasculopathy of scleroderma that could serve as a clinical biomarker for pulmonary vascular disease.

Although sleep often is disturbed in persons with chronic fatigue syndrome (CFS), activity-related exacerbation of symptoms is not related to poor sleep. In fact, persons with CFS often sleep better after engaging in exercise.

Late-onset systemic lupus erythematosus (SLE), often considered to have a benign disease course, actually involves greater disease activity and comorbidities than early-onset SLE. Differences in disease activity may be associated with an interaction between the SLE and age.

Prolonged standing on a sloped surface rather than on a level surface results in decreased subjective low back pain (LBP) and associated biomechanical changes, according to researchers at the Regis University School of Physical Therapy in Denver. Nelson-Wong and Callaghan1 noted that occupations that require prolonged periods of standing have been associated with increased reports of musculoskeletal disorders, including LBP.

Haiti Traveling

How quickly we humans normalize even the most extreme scenario - as long as we see it over and over. By now, it seems perfectly normal for our fringed-draped bus to 4-wheel it over piles of rubble.