
The 23-year-old African American woman was concerned about discolored, tender spots on her face.

The 23-year-old African American woman was concerned about discolored, tender spots on her face.

A specialist in irritable bowel disorder and other "functional" GI conditions offers advice on dealing with patients whose symptoms aren't easy to categorize. His pointers would apply as well to patients with chronic musculoskeletal pain and enigmatic rheumatologic disorders.

Among more than 5,000 rheumatoid arthritis patients followed for a quarter century, methotrexate use was associated with at least a 65% reduction in mortality risk

(AUDIO) New ACR guidelines on gout advise considering a test for the HLA-B*5801 allele linked to allopurinol sensitivity in some patients. This podcast by the co-chair of the panel clarifies the details.

Diagnosing systemic lupus erythematosus (SLE) can take 2-3 years, because most symptoms are both common and nonspecific. Here are clues to quick, accurate detection.

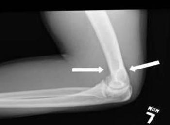
The 27-year-old patient sustained a FOOSH (fall on outstretched hand) injury while roller skating. What classic imaging sign appears on the radiograph of his injured left elbow?

The janitor began to have shoulder pain about 5 months ago, even when he wasn't moving. Also, his fingernails are clubbed.

Results of studies of systemic treatments for patients with osteoarthritis indicate significant positive effects on biomarkers that may be associated with disease progression but no significant effects on joint-space narrowing.

Involving pharmacists, physiotherapists, and primary care physicians in caring for patients with osteoarthritis improves the quality of care, along with patients' function, pain, and quality of life.

The long-term risk of rheumatoid arthritis is up to 26-fold greater and there is up to a 32% 10-year absolute risk of RA in persons in the general population who have elevated rheumatoid factor levels.

The tumor necrosis factor α antagonist infliximab has been used for treating patients with uveitis resistant to corticosteroids.

Case study: Avid runner with midfoot pain: Stress fracture? Lisfranc ligament injury? Synovitis? The description of this rare fracture of the first metatarsal bone illustrates the importance of history and investigation.

(AUDIO) The primary challenge in lupus diagnosis is nonspecific signs and lack of good biomarkers, says Sam Lim, MD, of the American College of Rheumatology’s Lupus Initiative. Here he sheds light on how to arrive at an appropriate diagnosis.

The burden of cognitive impairment in persons with rheumatoid arthritis is significant, according to recent study findings.

The risks are proven. The benefits are questionable. The alternatives are numerous. So is it ever a good idea to prescribe opioids for patients suffering with chronic pain from rheumatoid arthritis?

A 27-year-old white man, an active-duty soldier who previously had been healthy, presented with a 5-month history of progressively worsening swelling, pain and, eventually, skin hardening in both legs and then arms

Attention to early diagnosis and intervention in osteoarthritis (OA) has increased, but which treatments may have the greatest benefit is unclear. However, available and emerging treatments can ameliorate progression.

Anterior cruciate ligament injuries occur frequently in young and active persons.

A 54-year-old Asian woman presented with ongoing renal insufficiency and anemia that were thought to be the result of analgesic nephropathy caused by NSAIDs.

Polymyositis or dermatomyositis may be complicated with antisynthetase syndrome, which can include inflammatory muscle disease, interstitial lung disease, Raynaud phenomenon, arthritis, and other symptoms.

Patients with erosive osteoarthritis have more functional impairment and significantly more pain in the hands than patients with controlled inflammatory arthritis and patients with nonerosive OA.

Myofascial pain syndrome and fibromyalgia are common forms of musculoskeletal pain that are often confused with each other, not only because of similar symptoms, but also because they frequently occur in the same patient, which can lead to difficulties in differential diagnosis and treatment.

Psoriatic arthritis, a chronic inflammatory arthritis, usually is seronegative for rheumatoid factor and is associated with cutaneous psoriasis

Raynaud phenomenon, joint pain, muscle weakness, and hand discoloration: What is the diagnosis?

The current “treat to target” approach to rheumatoid arthritis incorporates an intensive, individualized management algorithm that includes an expanded role for the rheumatology nurse.

J.S. is a 69-year-old woman who presented with bilateral knee pain that she had had for 5 years.

Our evolving understanding of the potential causes of fibromyalgia, and its placement along a continuum of related conditions, informs an individualized treatment approach.

A 24-week randomized trial showed that quick response to the biologic adalimumab strongly predicted remission lasting for five years.

In "dry knee" osteoarthritis, intra-articular injections can't be guided by aspiration. So what's the best approach? This review ponders the options.

Posterior cruciate ligament (PCL) injuries usually result from automobile or sports collisions. When is nonoperative treatment the best option?