
When a patient's presenting complaint is chest pain, consider plain radiographs directed to the area of pain and do not forget to look at the bones.

When a patient's presenting complaint is chest pain, consider plain radiographs directed to the area of pain and do not forget to look at the bones.

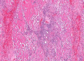
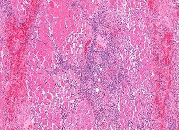
The 56-year-old woman in this unique case study showed a rare, late involvement of the bones in sarcoidosis: herniated lumbar disks. Lung opacities turned up on CT, and a biopsy found noncaseating granuloma.

(ACR Pediatrics 2014) More links between the gut and arthritis: Children with spondyloarthritis have different enteric bacteria than healthy kids, adding to a growing body of evidence linking microbes to autoimmune disorders.

The use of baclofen, typically used for spasms in spinal cord injury patients, can significantly reduce craving triggers for cocaine-addicted patients.

A new retrospective study suggests that patients with autoimmune disorders should be monitored for epilepsy, and vice versa.

Little evidence exists to guide the management of treatment-resistant myositis. This brief guide describes the best available options for a challenging and heterogeneous condition.

Explanations for the "gender factor" in rheumatoid arthritis risk now include factors unique to the immune response among women, phenomena specific to pregnancy, and perhaps environmental factors including cosmetics.

The patient is plagued by problems: Severe headaches, nausea, vomiting, a rash, chest and abdominal pains, and by the time she reaches a rheumatologist, periorbital edema and photophobia. Can you guess the cause?

For patients suffering from hip bursitis, platelet-rich plasma treatment is more effective than steroids, according to a study presented at the 2014 Annual Meeting of the American Academy of Orthopaedic Surgeons.

Can drugs that target the shared interleukin 17/23 pathway improve on existing options for treatment of psoriatic arthritis? A brief overview discusses the options now in testing, and preliminary results.

A 58-year-old woman presented to clinic with concerns about this skin lesion on her upper chest. She reports it has been present for 1 year and is slowly enlarging. The lesion is otherwise asymptomatic and her past history is only significant for rheumatoid arthritis (RA), for which she takes methotrexate and etanercept.

The DAS28 disease-activity score has made the transition from research to clinic, but in some circumstances it may be misleading. A tool developed by a rheumatologist can help you explore how changes in components like ESR affect the score in unexpected ways.

Since family physicians are more likely to adhere to a patient-centered biopsychosocial model than specialist physicians who treat chronic pain, primary care seems to be the logical "home" for its treatment.

Since pain typically presents before bone lesions are displayed on radiographs, a true diagnosis may be overlooked and the early stages can be easily missed.

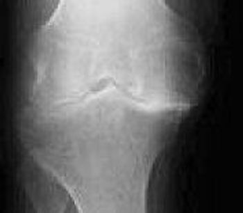
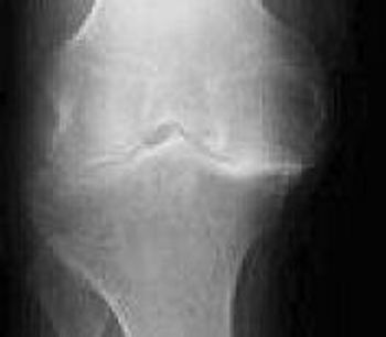
For a woman of her age and medical history with a weight problem, early osteoarthritis might not be an unreasonable diagnosis for knee pain and swelling after treadmill walking. But in rheumatology, things are so often not what they seem at first glance. What is your diagnosis?

A study of more than 1,000 patients with systemic sclerosis over 5 years has revealed how symptoms and outcomes vary with age at onset.

Sometimes, chronic pain patients intentionally magnify or downplay their physical and mental symptoms during office visits. Despite that fact, little attention in the clinical setting is paid to underlying motives for positively or negatively biased self-reports.

Cardiovascular risk is known to be increased among patients with rheumatoid arthritis (RA), but the interplay between inflammatory and cardiovascular causes and the possible role of medications muddle the picture. No wonder, perhaps, that rheumatologists have difficulty managing this risk. Here, some guidance from experts on the question.

Rheumatologists can dramatically reduce the chances of an infection common to RA patients on biologics -- pneumocystis pneumonia (PCP) – with a simple regimen of prophylactic antibiotics, a small study suggests.

Among patients with peripheral artery disease and intermittent claudication, a daily dose of 10 mg ramipril can improve pain-free treadmill walking times, which are associated with a significant increase in physical functioning.

Among its comprehensive review articles on spinal deformities, fractures, and other pediatric orthopedic conditions, the December 2013 issue of Surgery includes a concise and interesting article on the many foot problems orthopedic surgeons may encounter in children.

The Osteoarthritis Research Society International has given NSAIDs, corticosteroid injections, and canes the nod as appropriate for knee OA. Other interventions, including glucosamine/chondroitin and intra-articular hyaluronic acid, are judged of uncertain benefit.

Left ventricle strength weakens slowly in gout patients, with the first evidence often being left atrial volume enlargement. This appears to correlate with the development of tophi.

Methotrexate, according to a new study, is a nauseating thought even before most patients take their regular dose. What are the implications for treatment, and what can you do to help?

How should rheumatologists respond to demands for medical marijuana, either from legislatures or directly from patients? Here from a knowledgeable source are 8 reasons (and more) why the medical and scientific evidence weighs heavily against it, especially in rheumatology.

Early repair of complete hamstring tendon rupture offers good-to-excellent recovery of hamstring strength and endurance in professional football players, although the injury may be a marker of elite-level physical deterioration.

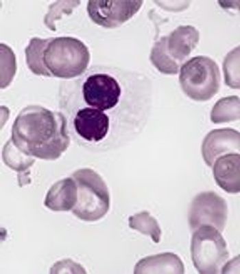
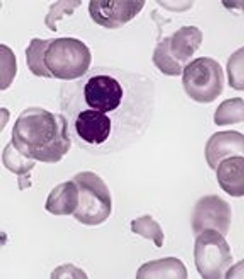
For more than half of patients with myelodysplastic syndrome, swollen and tender joints preceded diagnosis by nearly a year, according to a new study. Also last week in the nonspecialty journals: A shark genome shows early steps in immune system evolution.

There's limited study of whether disease-modifying drugs for rheumatoid arthritis, with the exception of methotrexate and anakinra, present a risk to a fetus. However, curiously, adverse pregnancy outcomes may increase a healthy mother's risk for developing RA.

Tocilizumab (Actemra) appears to dampen inflammation, increase hemoglobin, and improve inflammatory anemia in rheumatoid arthritis (RA), judging from post hoc analysis of a randomized late-stage clinical trial.

Last year's approval of belimumab (Benlysta) revolutionized lupus treatment. How safe and effective is it, actually? Do similar inhibitors of the B-cell activating factor BAFF, now in testing, appear even more promising? Here are the basics from an expert on the subject.