
The FDA has approved the PDE4 inhibitor apremilast (Otezla) for plaque psoriasis. It was already approved for psoriatic arthritis.

The FDA has approved the PDE4 inhibitor apremilast (Otezla) for plaque psoriasis. It was already approved for psoriatic arthritis.

A patient with rheumatoid arthritis declines to take pain relievers. His wife says he needs them, but won't admit it. What should be done?

The 45-year-old woman turned up in the emergency room with an acutely painful, swollen thumb. Aspiration results were uninformative. What's the diagnosis?

Neurological symptoms may be the presenting feature in lupus, sarcoidosis, vasculitis, and other rheumatic diseases, notes this review. Treatment may also cause neurological side effects including demyelination, tremor, and psychosis.

Knowledge of dietary supplement properties, uses, and contraindications is highly relevant to any health care practitioner that treats patients with chronic pain. Data shows that the top four reasons for supplement use are back pain, neck pain, joint pain, and arthritis.

Confirming the high pneumonia risk in lupus patients, researchers in Spain have found that it may precede the onset of the immune disorder. Their biological studies suggest that a particular underlying immune abnormality may explain both.

Rheumatologists can play a key role in management of the many subtypes of cryoglobulinemia by recognizing the chief symptoms. Challenge your knowledge in this brief quiz, then read a review by experts.

Researchers are testing promising new biologic agents that target different aspects of the inflammatory pathway in rheumatoid arthritis (RA).

In recent years, introduction of biologic agents for treatment of patients with rheumatoid arthritis (RA) has changed the landscape of RA management.

People who smoke and have more sodium in their diets than others could also be more likely to eventually develop rheumatoid arthritis (RA), according to a recent study.

Psoriatic arthritis may be difficult to distinguish from other types of arthritis. According to results of a new study, assessing a patient's sense of balance and hearing ability may be an aid in the diagnosis.

Patients with osteoporosis have to deal with many potential complications and comorbidities with their condition, most notably the risk of fracture as a result of the bone loss.

Separate newly published assessments describe hyaluronic acid injections and debridement after meniscectomy of scant clinical value for longstanding relief of knee pain, whatever small statistical significance may turn up in some studies.

On June 7, 2014, the state of Missouri passed State Bill 716, a piece of legislation creating a new category of health care provider in the state, known as the, "Assistant Physician."

For patients with hypertension, finding the right course of treatment can be critically important especially when other health factors are taken into consideration.

A new international multicenter study of often-deadly macrophage activation syndrome in systemic JIA reveals key laboratory and clinical warning signs. Watch ferritin levels especially closely.

An eight-year study of more than 100 patients with giant cell arteritis reveals that for the majority of patients it is not an isolated episode. Relapses tend to occur within two years, usually as polymyalgia rheumatica or cranial symptoms.

Knee osteoarthritis can trigger a series of clinical problems that set patients on the road to early frailty, especially if both knees are involved. It's prudent for their physicians to be on high alert for it.

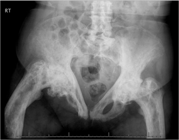
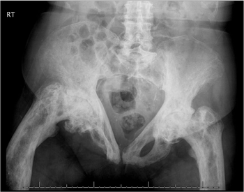
Whatever is causing this woman’s hip pain, her x-ray film looks quite severe. The diagnosis was correct 40 years ago, but it couldn’t be treated effectively then. What’s the problem?

A 71-year-old woman with one month of joint pain showed a classic sign of eosinophilic fasciitis.

This 28-year-old woman presented with a large hyperpigmented patch on the right side of her upper back. Although the lesion developed over the past 2 years, it has been "sinking in" over the past 2 weeks. The patient denies any trauma, pain, discomfort, or pruritis, as well as any family history of cancers, lymphoma, or autoimmune disease. However, she has a history of gastroesophageal reflux disease and onychomycosis, and her grandfather has a similar lesion.

Her headaches haven't improved with prednisone. It's not meningitis. Your tests show negative for vasculitis but positive for Lyme. Can you guess the diagnosis?

While rhabdomyolysis has been recognized as a consequence of crush injuries since the late 1800s, the most significant step toward finding the condition's causes, mechanisms, and management strategies occurred when physicians who treated crush injuries from the 1941 London Blitz identified a link between rhabdomyolysis and renal impairment.

Biologics have added a decade to the lifespan of rheumatoid arthritis patients since only the start of this century. The impact of age on that treatment has been a subject of intense study.

A small case series suggests that the mTOR inhibitor sirolimus has fewer adverse events and similar efficacy to other options for steroid-refractory hepatitis.

(AUDIO) David Pisetsky MD, new President-elect of the US Bone and Joint Initiative, offers his perspective.on the role of rheumatologists in a patient-centered, multidisciplinary medical future.

About one in 20 patients with genital chlamydia, the most prevalent sexually transmitted disease in the US, progress to reactive arthritis. This is simple to treat, but devilish to detect and diagnose.

Although hospitals routinely implement peer review processes to ensure that physicians are meeting the prevailing standards of care, the procedure has been associated with controversy.

Combining results from studies involving nearly 12,000 rheumatoid arthritis patients finds the fusion protein etanercept less likely than other TNF inhibitors to be discontinued due to infections.

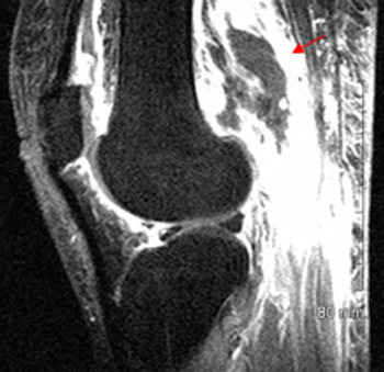
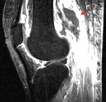
A month after being diagnosed with gout, this woman returned for care with pain, swelling, and effusion in both knees. Can you guess the diagnosis?