
Why are gout patients seeking treatment from their healthcare providers at three times the rate they were in the later 20th century? Researchers suggest that better disease awareness and an aging population may hold the answers.

Why are gout patients seeking treatment from their healthcare providers at three times the rate they were in the later 20th century? Researchers suggest that better disease awareness and an aging population may hold the answers.

Examining the right foot of a 54-year-old male reveals a red, swollen, warm, and exquisitely tender right first toe joint. What is the differential diagnosis?

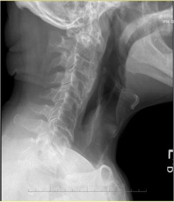
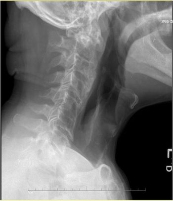
The elderly man with hypertension and polyarticular tophaceous gout experiences intermittent dizziness, neck pain, and arm weakness. Which condition is responsible?

An 82-year-old man with hypertension and gout developed periods of dizziness, neck pain, and arm weakness. Could the gout be responsible?

An international panel of rheumatologists issues new recommendations for the diagnosis and management of gout -- hoping to improve often uneven and suboptimal patient care that exists despite numerous care guidelines and new therapies.

New this week in the nonspecialty journals: Tattoos and sarcoidosis, oral ulcers and autoimmunity, gout and heart disease, and a review about a gene that affects autoimmune inflammation.

The RADAI joint index designed for rheumatoid arthritis patients provides equally powerful information about disease status in osteoarthritis and psoriatic arthritis, according to a new comparative study. As a guide to severity, it is much quicker than waiting for lab results to come in.

Does this evidence from recent research overturn some generally accepted principles about gout, rheumatoid arthritis, reactive arthritis, and osteoarthritis? Most of these studies were undertaken in order to test ideas that were described as common wisdom in rheumatology.

Used for gout for centuries, colchicine is known to be peculiarly toxic at high doses. A new understanding of its potential for poisoning, deliberate or otherwise, merits attention to its often-underestimated risks.

(AUDIO) New ACR guidelines on gout advise considering a test for the HLA-B*5801 allele linked to allopurinol sensitivity in some patients. This podcast by the co-chair of the panel clarifies the details.

Gout is associated with a significantly increased risk of cancer, particularly prostate cancer in men, a recent study finds.

Early and accurate gout diagnosis and disease management are essential. Making the clinical diagnosis takes into consideration the differential diagnosis supported by the use of clinical, serological, and diagnostic studies.

A new study has shown that MRI can identify and describe the features of gout.

Recombinant uricases provide an exciting new therapeutic option for gout, but there are limited data for their use in the elderly.

Prior to an FDA ban on unapproved colchicine products, the drugs cost $0.10 a pill. The only FDA-approved colchicine product costs $5 a pill.

As seen on the Discovery Health series Body Invaders, learn how gout arthritis can affect the human body.

Gout is a chronic, progressive disease that is managed most effectively when the patient's serum urate level is reduced to lower than 6 mg/dL by early therapeutic intervention.

Gout is the most common inflammatory arthritis. Arthrocentesis and identification of negatively birefringent monosodium urate crystals from aspirate is the gold standard for diagnosis.

More than two-thirds of surveyed patients with gout described the pain of an attack as “miserable,” but one-fourth suggested that persons who do not have gout perceive them as overreacting to attacks and two-thirds think that others do not take the condition seriously.

ABSTRACT: No new drug was FDA-approved for gout for close to 45 years, but new drugs are on the market now and others are in development. Established treatments often are effective, but each has limitations. In 2009, the FDA approved a nongeneric colchicine for acute gout.

As the population ages and persons live longer with more medical comorbidities, the incidences of both gout and pseudogout will continue to increase. Uric acid metabolism is crucial to the pathogenesis of gout. Patients who have the arthritis associated with crystal-deposition disease typically present clinically with acute attacks of joint pain, swelling, and erythema and have asymptomatic periods between acute attacks.

Vitamin C intake in men is inversely associated with serum uric acid (UA) concentrations. Therefore, vitamin C has a potential role in the prevention of hyperuricemia and gout.