
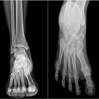
A foot or ankle injury misdiagnosis can lead to chronic pain or arthritis.

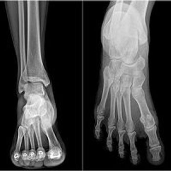
A foot or ankle injury misdiagnosis can lead to chronic pain or arthritis.

The MD Magazine editors rounded up the 10 best stories from December—did you read them all?

Employment status can be very telling for opioid and stimulant misuse odds, said researchers from Columbia University’s Mailman School of Public Health.

The MD Magazine editors rounded up the 10 best stories from October – did you read them all?

Sticks and stones may break my bones, but so could regular cannabis use, according to a study from The University of Edinburgh.

Fibromyalgia is notoriously difficult to diagnose. But a new study from the University of Colorado Boulder (CU Boulder) may have found a brain signature that red flags the disease.

“Physical exercise is an essential component of any treatment for fibromyalgia, and plenty of studies have demonstrated that low-impact aerobic exercise offers the most benefits," said Jamil Natour, MD, PhD.

Pain and sleep problems commonly go hand-in-hand. However, obstructive sleep apnea (OSA), daytime sleepiness, and poor sleep quality are all very different things.

What happens when someone with psoriatic arthritis also has fibromyalgia? Researchers from Tel Aviv University in Israel were determined to find out.

The Fibromyalgia Rapid Screening Tool (FiRST) can help physicians make the determination, but just how reliable is it?

As more women take leadership roles in gastroenterology and , it can go a long way in helping to bridge the gender gap in that other specialties in medicine.

As with many areas of medicine, the ratio of male doctors in gastroenterology to female counterparts is considerable – although work is being done to lessen that gap across the field.

It’s been reiterated time and time again but the evidence holds true – smoking leads to worse health outcomes. However, smoking increases the risk of death in patients with rheumatoid arthritis.

In addition to being the most important ingredient in margaritas, substances derived from tequila can play an important role in bone health.

People with fibromyalgia may try different pharmacologic approaches, but which one is really the most effective?

A new study found that combining two well-known medications for fibromyalgia is better than either therapy on its own.

The first study to investigate the link between fibromyalgia and stroke risk revealed telling results across all ages and sexes.

Fibromyalgia and sexual dysfunction are both conditions that affect more women than men; and now it looks like those who have the former are more likely to have the latter – especially if they have depression or anxiety.

When more and more women with fibromyalgia began seeking care for pelvic pain syndromes, researchers from Oregon Health & Science University set out to examine the connection in a larger group of patients.

You’ve heard it thousands of times over the years: smoking is bad for your health. But a recent study found that cigarettes have an interesting impact when it comes to the risk of gout.

Sometimes health stories can be just downright strange, and even the most experienced physicians may scratch their heads from time to time. Whether it was strange ingredients to treat pain or foods that harmfully impact the body, there have been a fair share of wild occurrences in the past 12 months.

The latest US Food and Drug Administration (FDA) approval goes to a Zurampic (lesinurad), a drug to help treat gout, a type of arthritis classified by severely painful joints.

It may be easy to write a prescription for opioids in hopes that they will do the trick for patients struggling with fibromyalgia pain. But the best path towards effective analgesia may not require medication at all.

In the midst of planning Thanksgiving dinner and watching the best NFL matchups, the last thing patients want to think about is an inconvenient gout flare-up. Unfortunately, it looks like November is prime-time for the debilitating condition.

A new study analyzed multiple areas of fibromyalgia including pain, brain characteristics, and medication efficacy, which resulted in some very telling conclusions.

Spontaneous knee effusion, often referred to as ‘water on the knee,' is definitely a red flag. However, a new study warns that a swollen knee accompanied by pain could be an early symptom of potentially debilitating Lyme disease.

While Lyme disease cases tend to peak during the summer months, the threat is not over once the weather cools down. But as recently discovered, a single test may not be enough for an accurate diagnosis.

Gout has been making quite a stir in news recently. Between a new classification system and a study showing that a common food can cause painful flares, this form of arthritis is getting quite a bit of attention. Now comes word that a drug used to treat gout could also be effective for another damaging condition.

The first study of its kind examined joint replacement surgery in patients with osteoarthritis and confirmed an increased risk of cardiovascular complications.

Patients with fibromyalgia typically experience widespread chronic pain and a new study adds to the evidence that emotional impact is prominent as well.

Published: March 25th 2015 | Updated:

Published: March 30th 2015 | Updated:

Published: April 16th 2015 | Updated:

Published: April 16th 2015 | Updated:

Published: April 27th 2015 | Updated:

Published: April 28th 2015 | Updated: